Um dos maiores desafios enfrentados pelo dentista é o diagnóstico de lesões iniciais de cárie, principalmente em virtude da anatomia oclusal dos dentes posteriores que atrapalha a visualização e pode indicar outro tipo de problema semelhante.
Essa dificuldade está no fato de que nem toda mancha no dente é cárie e, por isso, nem todas as pigmentações necessitam de procedimentos restauradores.
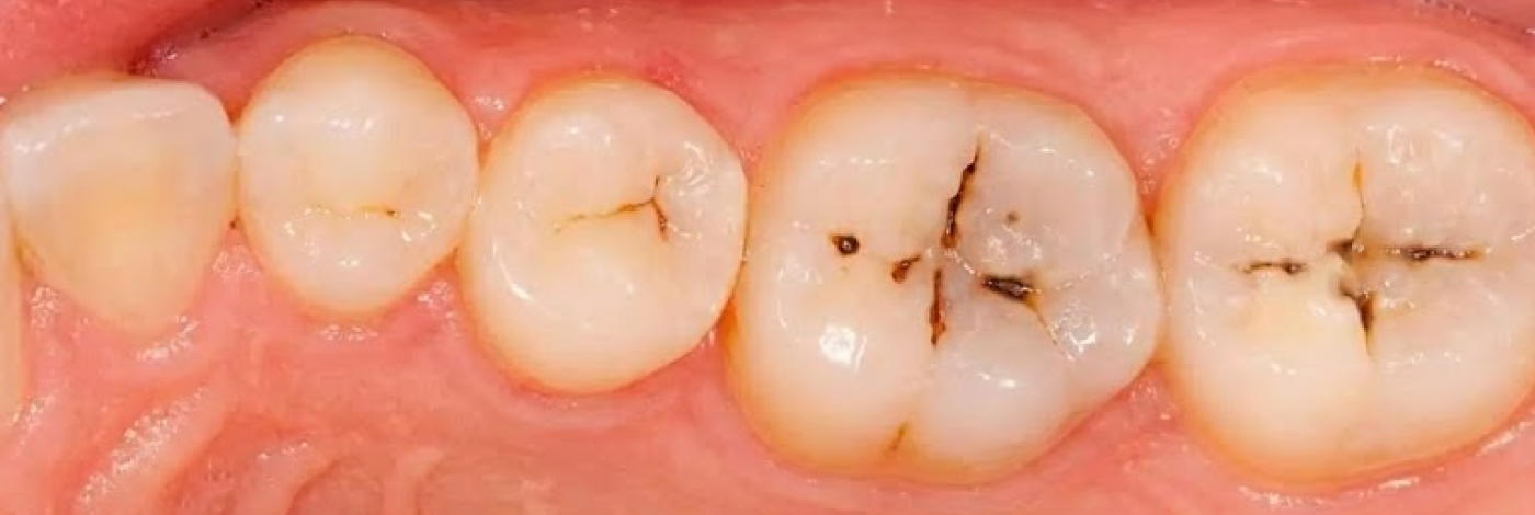
O sulco pigmentado é a manifestação mais comum, muitas vezes confundida com cárie, mas com características bastante diferenciadas e tratamento específico.
Por isso, neste artigo, vamos abordar sobre as causas do sulco pigmentado, diagnóstico diferencial e quais os tratamentos indicados para promover o sucesso clínico.

O que é sulco pigmentado?
É uma mancha de coloração escura, às vezes em formato de ponto, isolado ou não, que se instala na superfície do dente, na região da coroa.
Geralmente, a mancha segue os vincos e as sinuosidades do dente, dando a entender se tratar de uma cárie em estágio inicial.
Quais as causas do sulco pigmentado?
- Acúmulo de biofilme em sulcos profundos;
- Deposição de pigmentos extrínsecos (café, chá, vinho, tabagismo, etc;)
- Colonização bacteriana sem atividade cariogênica significativa;
- Oxidação de matéria orgânica acumulada nas fóssulas e fissuras.
Clinicamente, o dente com sulco pigmentado apresenta:
- Esmalte íntegro;
- Superfície lisa;
- Ausência de cavitação;
- Dureza preservada à sondagem.
A mancha se deposita exatamente nos sulcos dos dentes e, por isso, o termo “sulco pigmentado” foi adotado para identificar essa alteração.
Essa condição também é conhecida como selamento biológico e acontece quando há um acúmulo de minerais e corantes na superfície do dente, dando a ele uma coloração diferente do habitual.
Como ocorre o sulco pigmentado?
A pigmentação de sulcos, fóssulas e fissuras ocorre do seguinte modo:
- O contato da saliva com os alimentos e com o flúor acabam escurecendo os sulcos dentários deixando riscos e pontos pretos que, muitas vezes, são confundidos com cáries;
- A pigmentação dos sulcos oclusais pode ou não ser indicativo de desmineralização de esmalte;
- Também pode se tratar de um selamento biológico, quando a saliva “fixa” os pigmentos oriundos da alimentação no fundo dos sulcos, ou processos de desmineralização do esmalte dental.
O sulco pigmentado ocorre com maior prevalência em:
- Molares permanentes recém irrompidos;
- Pacientes com fóssulas e fissuras profundas;
- Indivíduos com dieta rica em pigmentos;
- Pacientes com higiene oral satisfatória, porém com retenção em áreas anatômicas específicas.
Dica clínica:
- A prevalência dessas manchas varia de acordo com a anatomia do dente e da superfície dental envolvida;
- É mais fácil uma pigmentação na superfície oclusal de um terceiro molar do que na face vestibular do canino.
Qual a diferença entre cárie e sulco pigmentado?
O paciente, dificilmente identificará se a mancha é cárie ou não. Por isso, é importante o acompanhamento contínuo do cirurgião-dentista para averiguar a situação.
Sulco pigmentado ou cárie?
Vejamos as semelhanças e diferenças de uma maneira mais simples e direta:
Semelhanças entre sulco pigmentado e cárie
- Coloração escura;
- Acompanha os sulcos ou ranhuras dentais;
- Surgem ao longo do tempo;
- Pode ser causado por má higiene oral;
- Não é possível remover com escovação;.
É cárie quando:
- Tem manchas brancas antes do surgimento das manchas escuras;
- Destruição progressiva do esmalte do dente, alterando seu formato;
- Causa dor ao paciente;
- Não é possível remover com escovação;
- É necessário realizar restauração;
- A cárie provoca alteração da estrutura do dente, deixando-o frágil. Com o passar do tempo e evolução da lesão, o indivíduo também experimenta dor e dificuldade de mastigação.
É sulco pigmentado quando:
- Não causa dor ao paciente;
- Não interfere na estrutura do dente;
- Não causa problemas de saúde ao indivíduo, a não ser o fator estético;
- Não é necessário realizar restauração;
- Pode ser removida com profilaxia realizada em consultório.
No caso da mancha, não há nenhum tipo de alteração no processo mastigatório, nem indicativo de dor e, muito menos, comprometimento da estrutura dentária. Ou seja, é apenas uma coloração enegrecida.
Dica clínica:
- O sulco pigmentado não é, necessariamente, uma lesão, mas uma mancha decorrente da combinação da saliva com substâncias ingeridas pelo paciente durante a sua alimentação;
- Essa alteração se manifesta mais facilmente quando o indivíduo faz uma higiene ineficiente dos dentes, seja com a ausência da escovação ou com a escovação incorreta;
- Os resquícios dos alimentos se fixam e enegrecem o dente;
- A cárie se instala de forma parecida: Os restos de alimentos ficam sobre os dentes e, na falta de uma higienização correta, o processo de danificação do dente desmineralização do tecido dental se inicia e vai se agravando com o passar do tempo.
Para facilitar a compreensão, elaboramos uma tabela comparativa apresentando as principais diferenças entre cárie e sulco pigmentado:
| Características | Sulco pigmentado | Cárie oclusal |
| Cor | Marrom escuro ou negro | Pode variar de branco opaco a marrom escuro |
| Superfície | Sempre apresenta continuidade de tecido | Pode apresentar descontinuidade de tecido ou cavitação |
| Dureza à sondagem | Esmalte duro | Esmalte amolecido ou dentina amolecida |
| Retenção de sonda | Não retentiva quando explorada corretamente | Pode haver retenção e sensação de “aderência” |
| Sintomatologia | Assintomática | Pode haver sensibilidade |
| Progressão | Estável ao longo do tempo | Tendência à progressão sem controle |
Para saber mais sobre a lesão de cárie, leia o artigo completo sobre Cárie dentária: remoção seletiva do tecido cariado.
Diagnóstico e tratamento para sulco pigmentado
Mas como devemos proceder no dia a dia do consultório?
O primeiro passo a ser desempenhado pelo dentista é realizar uma avaliação geral do paciente, com estudo aprofundado sobre o seu histórico, saúde e hábitos, especialmente em relação à higiene bucal e à alimentação.
Existem meios específicos para o diagnóstico de lesões cariosas, sendo a inspeção visual, exame clínico e o Rx periapical e interproximal são os mais utilizados.
Como feito o diagnóstico para sulco pigmentado?
Exame clínico + inspeção visual:
- Inspeção visual com secagem adequada;
- Utilizar sonda exploradora;
- Realizar pressão adequada com a sonda exploradora, para não provocar cavitação iatrogência;
- Avaliação da textura do sulco.
Após esta etapa, o dentista deve realizar a radiografia periapical para a averiguação das características físicas do dente.
O exame radiográfico é necessário porque nem sempre a avaliação visual é suficiente para a concepção do diagnóstico, devido às semelhanças das manchas escuras.
Radiografia periapical x sulco pigmentado:
- Sulco pigmentado não apresenta imagem radiográfica;
- Há integridade de esmalte e dentina;
- Não há imagem sugestiva de cárie ou cavitação.
Mesmo com os exames de raio x, clínico e avaliação visual, os diagnósticos podem não ser precisos e devemos atribuir essa dificuldade, principalmente, às mudanças no padrão de utilização de fluoretos (dentifrícios fluoretados, uso tópico profissional e fluoretação da água de abastecimento).
Outros pontos importantes a serem avaliados são:
- Idade;
- Última visita feita ao dentista;
- Doenças existentes;
- Erupção dental;
- Exposição radicular;
- Presença de biofilme dental; ou placa bacteriana;
- Presença de gengivite.
Cada meio de diagnóstico tem vantagens e desvantagens, sendo fundamental o dentista avaliar:
- Qualidade de escovação;
- Presença significativa de biofilme dental;
- Prevalência de lesões de cárie ativa no paciente;
- Quantidades de dentes restaurados;
- Motivo das perdas dentais, caso existam.
Erros comuns no diagnóstico de sulco pigmentado
- Associar pigmentação automaticamente à cárie ativa;
- Utilizar força excessiva com sonda exploradora;
- Não secar adequadamente o campo antes da inspeção;
- Ignorar avaliação radiográfica quando indicada;
- Desconsiderar o perfil de risco do paciente.
Dica clínica:
- Após exame clínico de um paciente que apresenta uma boa higiene oral, poucas restaurações nos elementos dentais, sem atividade de lesões de cárie, é mais prudente o acompanhamento dos dentes que apresentam pigmentação nos sulcos oclusais;
- É muito provável que a lesão encontrada não seja cárie, mas selamento biológico;
- Nesse caso, o dentista pode apenas acompanhar o paciente ao longo de visitas regulares ao consultório e verificar o andamento desses escurecimentos;
- O profissional deverá analisar a possível evolução do escurecimento para cáries de verdade. E, se for o caso, indicar a restauração como tratamento.
O paciente também apresenta diversas dúvidas sobre o diagnóstico, sendo as mais comuns:
- Ainda que não seja cárie, é necessário restaurar?;
- Como tirar o sulco pigmentado?
Por isso, é importante o dentista informar que:
- É compreensível essa preocupação, uma vez que o aspecto visual e estético dos dentes fica muito comprometido em virtude das manchas;
- É uma situação que prejudica e interfere na autoestima do indivíduo e na sua qualidade de vida, mesmo que a condição seja mais comum nos dentes posteriores, menos visíveis;
- A orientação básica é que não há necessidade de restaurar o dente afetado por sulco pigmentado, uma vez que não há lesão;
- Contudo, sabemos que essa é uma decisão que deve partir do próprio paciente, sob orientação honesta e responsável do seu dentista.
Qual o tratamento para sulco pigmentado?
Ao realizar o tratamento, o dentista deve considerar o risco individual do paciente:
- Histórico de cárie;
- Índice de placa;
- Frequência de ingestão de açúcar;
- Fluxo salivar;
- Uso de flúor.
Em pacientes de baixo risco de cárie, o sulco pigmentado tende a permanecer estável. Já em pacientes de alto risco, há risco de ocorrer lesão de cárie.
Por isso, os tratamentos mais indicados são:
Profilaxia Dental:
- Caso seja verificado que, de fato, não se trata de cárie, mas de pigmentação, é possível eliminar essas manchas através por meio da profilaxia dentária;
- Trata-se da mesma técnica utilizada para a remoção do tártaro e do biofilme dental;
- É uma opção que deve ser apresentada ao paciente, caso ele seja diagnosticado com manchas dentárias e prefira uma solução menos invasiva.
Para saber mais sobre a profilaxia odontológica, leia o artigo completo sobre profilaxia dentária.

Tratamento conservador para sulco pigmentado
Consiste em uma série de ações com o objetivo de tratar o dente manchado, porém, conservando completamente a estrutura do dente, não expondo o esmalte dentário a nenhum procedimento invasivo. Assim, estão incluídos:
- A avaliação de exames radiográficos, solicitados e realizados após anamnese durante as consultas;
- As revisões regulares, para acompanhamento do paciente;
- Os procedimentos de profilaxia profissional, técnica já citada como eficiente para a remoção das manchas;
- A sondagem e aplicação tópica de flúor.
Todos eles são procedimentos que caracterizam um tratamento conservador da superfície dental, sem restauração. Está incluído nesse conjunto a orientação básica sobre a higiene diária necessária.
Uso de selante dental:
- Há linhas que indicam e não indicam o uso de selantes;
- Cabe ao dentista decidir, de acordo com as características do caso clínico;
- Indicado para dentes jovens, pertencentes a pacientes infantis e adolescentes, que sofrem bastante com manchas dentárias;
- Mas, qualquer pessoa, em qualquer idade, pode se beneficiar das vantagens do selante dentário.
Tratamento restaurador para sulco pigmentado
- Alternativa de tratamento quando a profilaxia não consegue deixar os dentes na coloração que o paciente espera.
- Embora não seja o mais indicado a se fazer, visto que a restauração é um procedimento indicado apenas para reparo de lesões na cavidade dentária, é um serviço muito buscado quando a profilaxia não é eficiente, por questões emocionais do paciente relacionadas à estética.
- A restauração do dente com sulco pigmentado pode ser feita com indicação do dentista após avaliação precisa do histórico do indivíduo;
- Caso o paciente apresente muitas restaurações, higiene deficiente e áreas de opacidade no esmalte dental, pequenas manchas brancas, próximas ao manchamento, podemos realizar intervenção minimamente invasiva no elemento dental;
- Essas características sugerem um alto risco do escurecimento ser cárie ou uma tendência muito grande de que ela surja futuramente;
- Nesse caso, podemos fazer uma abertura da cavidade dental com brocas ultraconservadoras e, em seguida, aplicar o selamento com resinas fluidas ou selantes que liberam flúor, como o Ionômero de Vidro, por exemplo.
Então, é possível restaurar ou não o dente com sulco pigmentado?
- Como vimos, é possível, sim, restaurar o sulco pigmentado, caso seja uma vontade do próprio paciente;
- Contudo, é de extrema importância alertá-lo em relação ao motivo da coloração escura do dente;
- De uma maneira geral, o que devemos fazer é orientar o paciente em relação à pigmentação dental e sobre as possibilidades de tratamento.
Importante:
- É fundamental educar o paciente em relação às causas do enegrecimento;
- Após o tratamento, é importante orientar sobre o papel da higiene oral para manter esses e os demais dentes íntegros e em bom estado estético;
- É de extrema importância alertar para o fato de que o processo de restauração é uma técnica que deve ser evitada;
- Mesmo que feita de forma minimamente invasiva, é um procedimento que exige muitos cuidados para promover a longevidade do mesmo.
Dicas para promover a longevidade do tratamento para dentes com sulco pigmentado:
- É importante motivar o paciente em relação à melhora da qualidade de higiene oral;
- Consultas regulares para preservação do elemento tratado e dos demais dentes;
- Realizar acompanhamento radiográfico;
- Estar atento ao padrão oclusal;
- Elementos em infra-oclusão têm o acúmulo biofilme, facilitado em virtude da falta de contato com o dente antagonista.
É importante lembrar que o diagnóstico precoce, bem como o tratamento das lesões e, principalmente, na orientação de higiene oral, é o principal meio de prevenção de doenças bucais e melhoria da saúde bucal do paciente.
A ocorrência da pigmentação de sulcos, fóssulas e fissuras é muito comum na Odontologia, tanto em crianças e adolescentes, bem como em pacientes adultos.
Por isso, é fundamental o dentista identificar a diferença entre a pigmentação e a lesão de cárie, para promover a integridade do elemento dental e a saúde oral do paciente.
Na Dental Speed, sua parceira na Odontologia, você encontra uma linha completa de produto para diversos produtos odontológicos, incluindo o sulco pigmentado.
Saiba mais sobre diagnósticos na Odontologia:
- Lesões na língua: Diagnóstico e tratamento
- Overjet e overbite na Ortodontia: Diferenças, diagnóstico e tratamento de maloclusões
- Como fazer diagnóstico em endodontia e ter sucesso clínico
- Saiba como fazer o diagnóstico em Odontopediatria e ter sucesso no tratamento clínico
- Saiba como fazer o diagnóstico em Periodontia e ter sucesso no tratamento clínico
- O Papel do Dentista no Diagnóstico de Violência Contra Mulheres e Crianças
- Hipersensibilidade Dentinária: Diagnóstico e tratamentos
Referências:
- https://www.ident.com.br/ia/pergunta/63397-qual-a-diferenca-entre-um-sulco-pigmentado-e-um-sulco-com#:~:text
- https://www.idealodonto.com.br/blog/sulco-pigmentado-entenda-suas-causas-e-como-trata-lo-de-forma-eficaz
- https://br.edelwhite.swiss/blog/como-diferenciar-cárie-de-sulco-pigmentado
- https://eapgoias.com.br/web-stories/carie-ou-sulco-pigmentado/














Deixe um comentário