Os freios ou frênulos consistem em pregas de membrana mucosa com tecido fibroso e são
estruturas dinâmicas, sujeitas a variações na forma, tamanho e posição durante os diferentes
estágios de crescimento do indivíduo.
Quando ocorre uma alteração no freio labial ou no freio lingual que possa comprometer a
função e/ou a estética, existe a necessidade de realizar o procedimento cirúrgico de frenotomia
ou frenectomia, de acordo com a complexidade do caso clínico.
Nesse artigo, vamos conferir as principais diferenças entre essas cirurgias, abordando de forma
simplificada o processo de diagnóstico, bem como as etapas clínicas.
Além disso, também será possível conferir imagens de casos reais e os principais benefícios para
os pacientes.
Diferença entre frenotomia e frenectomia
Antes de entendermos a diferença entre os procedimentos cirúrgicos, vamos abordar a função e
limitações causadas por alterações no freio labial e no freio lingual:
Freio labial:
- Também chamado de frênulo labial;
- Função de limitar os movimentos dos lábios;
- Promove a estabilização da linha média;
- Impede a exposição excessiva da gengiva.
Quando há alteração na inserção do freio, caracterizando o freio labial patológico, podem ocorrer diversos problemas, como por exemplo:
- Diastema interincisal;
- Alteração estética;
- Acúmulo de biofilme;
- Tracionamento anormal do lábio superior;
- Dificuldade de escovação;
- Fonética de algumas letras.
Freio lingual:
- Também chamado de frênulo lingual;
- Função de limitar e controlar os movimentos da língua;
- Impacto direto na deglutição, fala e fonação.
Já quando ocorre a alteração da inserção do freio lingual, pode acarretar problemas em bebês, crianças e adultos:
Problemas em bebês:
- Dificuldade de amamentação;
- Impacta na pega do bebê.
Problemas em crianças e adultos:
- Dificuldade de de deglutição;
- Dificuldade de fonação.
Essa alteração causa a anquiloglossia, popularmente chamada de “língua presa”.
Logo, é comum que procedimentos cirúrgicos sejam feitos com o intuito de reparar eventuais
distúrbios nos freios, seja labial ou lingual. Os mais conhecidos são a frenotomia e a frenectomia.
Logo, é comum que procedimentos cirúrgicos sejam feitos com o intuito de reparar eventuais
distúrbios nos freios, seja labial ou lingual. Os mais conhecidos são a frenotomia e a frenectomia.
Qual a diferença entre frenotomia e frenectomia?
Os nomes podem ser um tanto parecidos, contudo, existem diferenças entre os procedimentos:
- Frenotomia: procedimento tem como objetivo cortar ou dividir o freio, sendo um
procedimento bastante utilizado em pacientes odontopediátricos; - Frenectomia: procedimento cirúrgico que visa a remoção do freio (labial ou lingual) e bridas (se necessário), permitindo tanto a movimentação ortodôntica para fechamento de diastemas (no caso do frênulo labial), bem como a movimentação adequada da língua (no caso do frênulo lingual).
Ambos são realizados pela técnica cirúrgica convencional ou utilizando laser. A escolha é feita de acordo com a avaliação do dentista e a necessidade do caso clínico.
CID Odontológico
A Classificação Estatística Internacional de Doenças e Problemas Relacionados com a Saúde (CID) é uma das principais ferramentas epidemiológicas do cotidiano médico e odontológico.
É de suma importância o dentista saber documentar corretamente os procedimentos realizados, visto que a principal função do CID é monitorar a incidência e prevalência de doenças, através por meio de uma padronização universal.
Para esses procedimentos, os CIDs principais são:
- CID 10 – K06.10 Fibromatose gengival
- CID 10 – Q38.1 Anquiloglossia
Quais os benefícios da frenectomia?
Os procedimentos de frenectomia oferecem inúmeros benefícios para o paciente, principalmente, considerando que é comum realizar o procedimento em crianças.
Quais os benefícios da frenectomia labial?
- Prevenção de retração gengival;
- Melhora a higiene oral;
- Estética do sorriso;
- Perimite o fechamento de diastema;
- Facilita o tratamento ortodôntico.
Quais os benefícios da frenectomia lingual?
- Em bebês:
- Melhora a amamentação;
- Contribui para a pega do bebê;
- Facilita a deglutição;
- Previne problemas de desenvolvimento oral e facial.
2. Em crianças e adultos:
- Possibilita a movimentação e o posicionamento ideal da língua;
- Contribui na pronúncia adequada de sílabas e palavras;
- Facilita a deglutição;
- Promove uma higiene mais adequada
Para exemplificar o benefício do procedimento, segue o relato de um caso clínico:
Caso clínico: Antes e depois de uma frenectomia labial
- Paciente adulto, queixa principal: estética do sorriso;
- Ao exame clínico, observou-se presença de diastema importante na região entre incisivos centrais;
- Foi realizada a frenectomia para possibilitar a reabilitação estética em região anterior.
Dica clínica:
- O relato do paciente é o mais importante a ser levado em conta na hora de planejar o caso;
- Primeiro, escute as queixas dele, para então propor um tratamento (ou algumas possibilidades de tratamento).
Importante:
Segundo Souza (2015), quando os incisivos centrais superiores erupcionam, nenhum osso é
posto na porção inferior, causando assim um espaço interincisivo que é chamado de diastema,
podendo afetar a harmonia do sorriso.
Quais são as causas do diastema?
O diastema é comumente detectado em crianças na fase da dentição mista, e pode ter outras causas como:
- Dentes com diâmetro insuficiente na região maxilar;
- Incisivos laterais conoides;
- Agenesias de incisivos laterais;
- Macroglossia;
- Expansão dos maxilares;
- Hiperatividade lingual;
- Hábitos parafuncionais;
- Outras alterações dentárias.
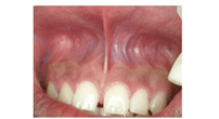
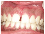
A seguir, é possível conferir o antes de depois do paciente:

Na primeira figura, podemos observar o freio labial em região de incisivos, posicionado entre os dentes 11 e 21.

Já na segunda figura, observamos o pós-operatório: 14 dias após a remoção do freio labial.

Na última figura, podemos observar o resultado da reabilitação estética pós frenectomia labial.
Quais os benefícios da frenotomia?
Os procedimentos de frenotomia apresentam diversos benefícios, semelhantes aos
da frenectomia.
Quais os benefícios da frenotomia labial?
- Permite o fechamento de diastemas;
- Melhora a fonação;
- Diminui a possibilidade de retração gengival;
- Facilita a higienização.
Quais os benefícios da frenotomia lingual?
- Em bebês:
- Melhora da amamentação;
- Promoção do desenvolvimento oral;
- Prevenção de problemas de fala;
- Prevenção de problemas respiratórios.
2. Em crianças e adultos:
- Permite a movimentação e o posicionamento ideal da língua;
- Melhora a fonação e deglutição;
- Permite uma higiene oral adequada.
Dica clínica:
- A frenotomia lingual deve ser realizada sempre que a anquiloglossia causar algum prejuízo as funções estomatognáticas de uma criança, sendo muito utilizada em neonatos;
- O procedimento permite uma melhor amamentação, tanto para mãe quanto para o bebê, influenciando diretamente na nutrição correta da criança;
- Além disso, possibilita uma melhor movimentação da língua, e, consequentemente, melhor pronúncia das palavras ao desenvolver a dicção contribuindo para o desenvolvimento psíquicoemocional do paciente.
Diagnóstico e indicações de fretonomia lingual em bebês
- O procedimento pode ser indicado para bebês que apresentem dificuldades na amamentação natural, durante os primeiros meses de vida;
- Esta cirurgia é realizada após o Teste da Linguinha (TL). O teste é feito em crianças recém nascidas ou com até seis meses de idade;
- Caso exista alguma anomalia na movimentação da língua durante a sucção por parte do bebê, tem-se como efeito uma dor persistente no mamilo materno, lesões na área e problemas no amparo da pega (AGOSTINI, 2014).
Importante:
- Sempre fique atento aos sinais de anquiloglossia em bebês, nem sempre o diagnóstico é realizado no primeiro mês de vida;
- Questione sobre amamentação, movimentação lingual, irritabilidade da criança, etc.;
- Ter uma visão geral do contexto é importante para um bom diagnóstico e plano de tratamento.
Como é feita a frenotomia lingual em bebês?
O paciente é submetido ao exame clínico, onde realiza-se o levantamento da língua, analisado a forma, a inserção e o repouso dos lábios.
Diante das informações coletadas, é realizado o diagnóstico de anquiloglossia, seguindo com a elaboração do planejamento cirúrgico.
Saiba mais sobre o procedimento:
O protocolo da cirurgia de anquiloglossia conta com as seguintes etapas:
- Preparo da mesa clínica, além da gaze e algodão estéril;
- Geralmente realiza-se anestesia tópica com benzocaína e algodão estéril envolto na pinça anestesia local com lidocaína 2% + epinefrina 1:100.000 com agulha curta, aplicado na face ventral da língua anestesiando o nervo lingual;
- Apreensão do frênulo lingual com tentacânula e secção do mesmo com tesoura de ponta reta – frenotomia, liberando assim o freio;
- A hemostasia imediata é realizada com compressa de gaze, não havendo necessidade de sutura;
- Imediatamente após a cirurgia orienta-se que a mãe coloque a criança para amamentar (peito);
- A medicação pós-operatória é prescrita caso o profissional perceba que há necessidade.
Para facilitar a compreensão, seguem imagens de “ antes e depois” de um caso clínico de frenotomia lingual:


Principais materiais utilizados na frenotomia:
Tempo cirúrgico: o procedimento é rápido, dura em torno de 10 minutos.
Cuidados pós-operátorios após frenectomia e frenotomia
Os cuidados pós-operatórios são fundamentais para evitar possíveis complicações e devem ser, de preferência, entregues por escrito ao paciente ou responsáveis após o procedimento, sendo os mesmos cuidados para os dois procedimentos:
- Alimentação líquida/pastosa e fria nos primeiros dias;
- Manter repouso;
- Ao dormir, manter a cabeça em posição elevada (utilizando dois travesseiros abaixo da nuca);
- Nunca dormir com a barriga voltada para a cama – para evitar sangramento, por ser uma área muito vascularizada (principalmente língua);
- Evitar calor, locais quentes, exposição ao sol e atividade física até a remoção da sutura;
- Não cuspir;
- Não fumar;
- Manter uma ótima higiene oral para evitar infecções, inclusive utilizar fio dental delicadamente;
- Escovar os dentes com escova macia de cabeça pequena, preservando o local da cirurgia (não escovar a região da cirurgia);
- Não realizar bochecho nas primeiras 72 horas;
- Higienizar o local da cirurgia delicadamente com cotonete embebido em solução à base de clorexidina a 0,12% (quando possível);
- Tomar corretamente a medicação prescrita, seguindo corretamente o horário estipulado.
Importante:
- Por mais que os procedimentos são considerados “simples”, afetam uma área muito vascularizada;
- Riscos de hemorragias não devem ser descartados;
- O paciente necessita de cuidados e acompanhamento pós-operatório.
Dica clínica:
- Na maior parte dos casos, o paciente deve passar a ser acompanhado por um fonoaudiólogo;
- O profissional avaliará a deficiência do paciente e orientará os exercícios que melhorarão sua motricidade lingual;
- O tratamento irá auxiliar na melhora da pronúncia das palavras e da deglutição

A frenotomia é indicada nos casos em que a liberação parcial do freio é suficiente para estabelecer estética e função, especialmente em pacientes jovens.
Já a frenectomia é uma procedimento cirúrgico indicada quando há interferências estruturais mais complexas, que em longo prazo oferece impactos funcionais, periodontais e estéticos significativos.
Na Dental Speed, sua parceira na Odontologia, você encontra uma linha completa de produtos para cirurgia, incluindo os procedimentos de frenectomia e frenotomia na Odontologia. Confira!
Saiba mais sobre Cirurgia na Odontologia:
- Extração dentária: guia completo com dicas essenciais
- Materiais cirúrgicos odontológicos e suas funções
- Uso de anestésico local na Odontologia: como evitar possíveis complicações?
Texto reescrito pela Dra Fernanda Skupien em março de 2026.
Referências:
- ANDRADE, J. J. DA S.; CABRAL, L. N.; MALASPINA, O. A. Reabilitação estética anterior pós-frenectomia: relato de caso. ARCHIVES OF HEALTH INVESTIGATION, v. 6, n. 10, 31 out. 2017.
- GOMESª, Anny. FRENOTOMIA LINGUAL EM PACIENTE INFANTIL: RELATO DE CASO. In: GOMESª, Anny. Acadêmico do Curso de Odontologia da Faculdade Avantis. 2018. Trabalho de Conclusão de Curso (Odontologia) – Universidade Tiradentes, Aracaju, 2018. Disponível em: http://openrit.grupotiradentes.com:8080/xmlui/bitstream/handle/set/3537/FRENOTOMIA%20LINGUAL%20EM%20PACIENTE%20INFANTIL%20-%20RELATO%20DE%20CASO%20%28UNIT-SE%29.pdf?sequence=1. Acesso em: 1 fev. 2022.
- SILVA, Hewerton Luis, SILVA, Jairson José da, ALMEIDA, Luís Fernando de. Frenectomia: revisão de conceitos e técnicas cirúrgicas. SALUSVITA, Bauru, v. 37, n. 1, p. 139-150, 2018.
- LEAL, Ricardo. Frenectomia lingual e labial em Odontopediatria. Artigo de Revisão Bibliográfica , [S. l.], p. 1-32, 1 jun. 2010. Disponível em: https://repositorio-aberto.up.pt/bitstream/10216/56674/2/tese%20de%20Ricardo%20Leal.pdf. Acesso em: 1 fev. 2022.
- MENEZES, Flavio. Frenectomia e Frenotomia (Lingual ou Labial). Instituto Odontológico , [S. l.], p. 1-1, 7 fev. 2018. Disponível em: http://www.odontologiaprudente.com.br/frenectomia-lingual-labial-presidente-prudente.php. Acesso em: 1 fev. 2022














Deixe um comentário