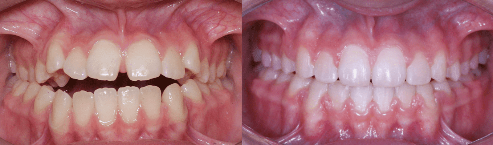
Caso Clínico Classe I dentária com mordida aberta anterior severa e necessidade de refinamento do posicionamento dental.
Queixa principal do tratamento
Paciente de 14 anos, não gostava dos dentes tortos e da mordida aberta na frente, estava atrapalhando sua autoestima.
Plano de tratamento
- Colagem Bráquete de Aço Autoligado Interativo U-Clip da marca Orthometric e esporões palatinos nos incisivos superiores e inferiores;
- Alinhamento com Arcos Termoativados Orthometric – Medidas: 0,012’’ / 0,014’’ / 0,014’’ x 0,025’’ e 0,017” x 0,025”;
- Nivelamento com fios Aço CrNi Orthometric – Medida 0,017 x 0,025”;
- Alças para fechamento de espaços;
- Dobras verticais + Elásticos de intercuspidação para engrenagem dos elementos e melhoria do overjet anterior;
- Finalização com plastia de bordas dos incisivos com discos;
- Contenções fixas 2×2 superior + esporões e 3×3 inferior;
- Conferência e equilíbrio das guias de protrusão em incisivos e lateralidade em caninos;
- Conferência da harmonia do sorriso obtido na finalização;
- Tempo de tratamento: 26 meses (idade final 16 anos).
Complemente sua leitura 👉 Bráquete metálico ou estético: Qual indicar?
Registro em imagens do tratamento em andamento:
- Caso em andamento, 6 meses de tratamento.



- Caso em andamento, 6 meses de tratamento, Elástico Classe III precoce triangulo 5/16 Médio integral.



- Caso em andamento, 9 meses de tratamento.



- Caso em andamento, 11 meses de tratamento.



- Caso em andamento, 13 meses de tratamento.



- Caso em andamento, 15 meses de tratamento. Não extruir mais anterior superior, começou a esconder a borda no lábio inferior.




- Caso em andamento, 18 meses de tratamento.



- Caso em andamento, 23 meses de tratamento.



- Caso em andamento, 24 meses de tratamento.



- Caso em andamento, 26 meses de tratamento. Step-down 12 a 22.



- Tempo de tratamento: 26 meses (idade final 16 anos)






Leia também:










Deixe um comentário