O clareamento dental é o tratamento odontológico mais popular entre os pacientes que desejam melhorar o aspecto de seus sorrisos.
Trata-se de um procedimento que consiste na alteração da cor natural dos dentes a partir do uso de agentes clareadores à base de peróxido de hidrogênio (H2O2) ou seus precursores.
A seguir, você vai conferir os principais tipos de clareamento dental disponíveis, suas indicações e contraindicações, além de um relato de caso clínico comprovando a eficácia do clareamento dental.
Tipos de clareamento
Existem várias técnicas disponíveis atualmente para a realização de clareamento dental, e podemos classificá-las em duas principais categorias:
Clareamento caseiro
A técnica caseira é realizada pelo próprio paciente, sob orientação do dentista, a partir da utilização de agentes clareadores de baixa concentração — 10% a 22% de peróxido de carbamida.
Esse tipo de clareamento, como o próprio nome sugere, é feito em domicílio, com o auxílio de uma moldeira individual de silicone previamente confeccionada em consultório.
A principais vantagens do clareamento caseiro são a facilidade, comodidade na hora da aplicação e menor probabilidade de causar sensibilidade ao paciente.
Clareamento em consultório
Realizada exclusivamente pelo Cirurgião-Dentista em seu consultório, a técnica consiste na utilização de géis clareadores em concentrações mais altas, geralmente contendo peróxido de hidrogênio em sua composição.
Durante a execução, é preciso proteger o tecido gengival do contato com o gel clareador a fim de evitar intercorrências como irritações e queimaduras.
O clareamento em consultório pode, ainda, ser potencializado por meio da utilização de métodos de estímulo químico. É o caso de fontes de luz de LED, laser e luz azul emitida pelo aparelho fotopolimerizador.
A quantidade de sessões de clareamento dental varia de acordo com o grau de escurecimento, expectativas e necessidades de cada caso.
Indicações e contraindicações do clareamento dental
Por ser um procedimento seguro e pouco invasivo, o clareamento dental é indicado na maioria dos casos em que há presença de escurecimento dental.
Nesse sentido, pode ser realizado em pacientes que tiveram seus dentes escurecidos devido à:
- Traumas;
- Necrose pulpar;
- Uso de medicamentos;
- Materiais restauradores;
- Demais condições sistêmicas.
Também é importante estar atento no que diz respeito às contraindicações do procedimento, que acabam comprometendo a técnica de clareamento dental.
De modo geral, o clareamento dental não é indicado para:
- Pacientes menores de 15 anos;
- Gestantes e lactantes;
- Pacientes com cáries;
- Pessoas alérgicas ao agente clareador;
- Pacientes com túbulos dentinários expostos;
- Entre outros.
Caso Clínico
A seguir, acompanhe um caso clínico elaborado pelo Cirurgião-Dentista espanhol Jon Gurrea em parceria com a FGM Dental Group e confira as técnicas utilizadas para realização de clareamento dental e reabilitação de fraturas nas bordas incisais.
Queixa principal
Paciente do sexo feminino, de 44 anos de idade, deseja melhorar a cor e restaurar as bordas incisais fraturadas depois da realização de tratamento ortodôntico.
Avaliação inicial
A paciente apresentava uma cor 2M2-2M3 da guia VITA 3D Master e fraturas das bordas incisais provocadas por hábitos nocivos.
Tratamento realizado
Foi realizado o clareamento com Whiteness Perfect 16% e restauração das bordas incisais com compósito Vittra APS Unique para simplificar o processo restaurador e a escolha de massas de cor.
Confira o passo a passo:
Figura 1 — Aspecto Inicial.

Figuras 2 e 3 — Tomada de cor pré-clareamento.


Figuras 4 e 5 — Controle depois do clareamento. Passou-se de 2M2/2M3 a 1M1.


Figuras 6 e 7 — Pré-operatório de realização de restaurações diretas de compósito.


Figura 8 — Isolamento absoluto para manter a zona limpa.

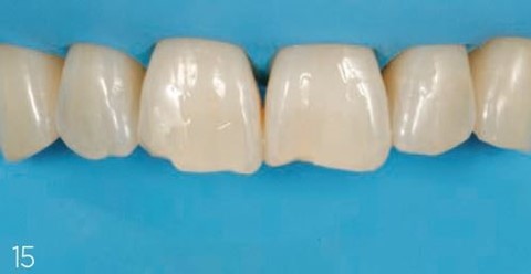
Figuras 9 e 10 — Jato com pó de alumínio de 50 micras. Não foi realizado um bisel, apenas foram suavizadas as bordas agudas com um jato.


Figuras 11 e 12 — Condicionamento com ácido fosfórico a 37%.


Figura 13 — Uma correta densidade e homogeneização do ácido fosfórico permitem uma zona condicionada controlada.

Figuras 14 e 15 — A aplicação do adesivo Âmbar Universal APS, praticamente incolor, possibilita a formação de uma fina película que se mimetiza com o substrato dental, favorecendo a naturalidade da restauração, sobretudo quando associado à resina Vittra APS Unique.


Figura 16 — Os dentes estão devidamente condicionados e o adesivo não se percebe. É uma situação ótima para começar.

Figuras 17 e 18 — Vittra APS Unique é um compósito mais indicado para uso com pincel do que com espátula.


Figura 19 — Depois de acabar, começa-se a polir, primeiro a fase palatina.

Figuras 20 e 21 — Diferentes passos do polimento e acabamento das restaurações na fase Vestibular.


Figura 22 — Com as restaurações finalizadas, pode-se tirar o dique de borracha.

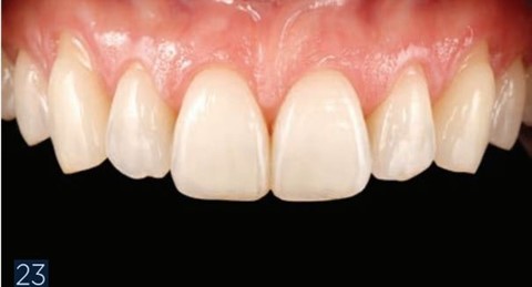
Figura 23 — Imagem intraoral das restaurações finalizadas, 15 dias depois. Observa-se um bom mimetismo apesar de não ter realizado nenhum bisel.

Figuras 24, 25 e 26 — Imagens extraorais das restaurações finalizadas.

Produtos utilizados no caso clínico
Para a elaboração do caso clínico apresentado, foram utilizados produtos da FGM, marca líder em clareamento dental no Brasil.
Conheça os produtos:

1. Whiteness Perfect 16%
Whitennes Perfect é um gel clareador à base de Peróxido de Carbamida, reconhecido como o “melhor clareador dental de uso caseiro”.
Apresenta em sua composição Nitrato de Potássio e Fluoreto de Sódio para uma ação dessensibilizante superior, e pH neutro, conferindo menor risco de desmineralização do esmalte e dentina.

2. Âmbar Universal APS
Âmbar Universal APS é um adesivo universal de aspecto incolor que pode ser usado em diferentes tipos de protocolo de condicionamento ácido.
Desenvolvido pela FGM com tecnologia APS (Advanced Polymerization System), oferece resistência adesiva superior, até mesmo em ambientes com elevada umidade.


3. Vitra Unique APS
Vitra Unique APS é uma resina submicrométrica e unicromática que apresenta efeito camaleão, capaz de captar e refletir a cor do remanescente dental.
Oferece mais agilidade e economia aos casos clínicos diários, pois, com uma única resina, é possível realizar restaurações estéticas em dentes de cor A1 ao D4, cobrindo todas as cores da escala Vita.
É indicada para restaurações em dentes anteriores e posteriores de classe I, também conta com exclusivo sistema de polimerização APS.

4. Condac 37%
Condac é um gel à base de ácido fosfórico a 37% utilizado no preparo da superfície dental a fim de melhorar a adesão de materiais restauradores.

Possui excelente consistência, fácil de aplicar e de remover após o condicionamento ácido. Apresenta coloração azul para melhor controle durante a aplicação.
Agora, que tal colocar em prática os conhecimentos adquiridos na teoria e obter os melhores resultados estéticos em seus casos clínicos?
No site da Dental Speed, você encontra uma grande variedade de produtos odontológicos da FGM, inclusive os que foram utilizados neste caso clínico.
Compre clareadores, resinas e demais produtos de dentística e estética com as melhores condições de pagamento e entrega rápida para todo o Brasil!
Acesse dentalspeed.com, confira nosso catálogo e encontre tudo o que precisa em um só lugar!
Referências:
SOSSAI N; VERDINELLI EC; BASSEGIO W. Clareamento Dental. Revista Saúde e Pesquisa, 2011.
FGM Dental Group. [S. l.], 9 jun. 2023. Disponível em: https://fgmdentalgroup.com/. Acesso em: 9 jun. 2023.
CASO Clínico: Clareamento com Whiteness Perfect e Restauração de bordas incisais. FGM Dental Group, [s. l.], 9 jun. 2023. Disponível em: https://fgmdentalgroup.com/. Acesso em: 9 jun. 2023.




Deixe um comentário